Caz clinic: lupta Kaiei cu boala Addison - diagnostic și tratament

Boala Adisson la caini

Kaia, un pui de bulldog francez de doar 4 luni, a fost adusă de urgență în cadrul clinicii Patrupet cu un istoric alarmant: multiple episoade de vomă, diaree apoasă, apatie severă, tremor, și pierderea completă a apetitului. La o altă clinică a fost suspectă pentru afectare renală acută și posibilă intoxicație.

La momentul prezentării, examenul clinic a evidențiat:

  • Temperatura: 37.7°C

  • Frecvența respiratorie: 30 rpm;

  • Frecvența cardiacă: 120 bpm;

  • Mucoase: roz, timp de reumplere capilară < 2 secunde;

  • Deshidratare severă (10%);

  • Sensibilitate abdominală profundă la palpare.

În ciuda stării generale compromise, la auscultația cardiacă și pulmonară nu s-au identificat zgomote patologice.

Investigații în stabilirea unui diagnostic precis

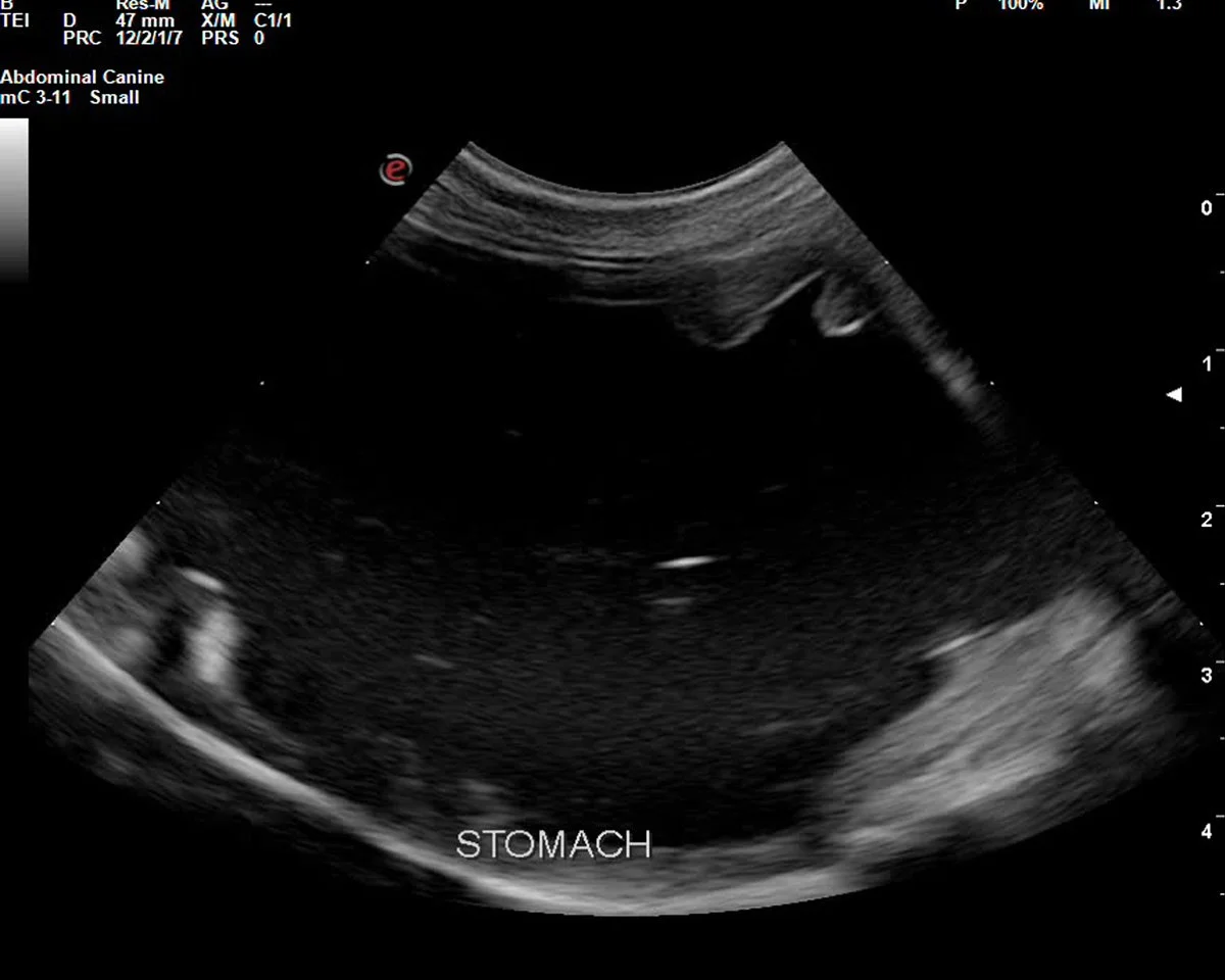
Echipa Patrupet a inițiat un panel de urgență, pentru stabilirea rapidă a unui diagnostic a cauzei stării critice. Analizele de sânge au evidențiat dezechilibre electrolitice și markeri sugestivi pentru hipoadrenocorticism, care au dus la suspiciunea principală: boala Addison. Mai mult, ecografia abdominală a evidenţiat un stomac destins de conținut lichid, motilitate gastrointestinală redusă și inflamație la nivel intestinal.

Terapia internsivă și protocolul terapeutic personalizat

Kaia a fost spitalizată timp de 5 zile în cadrul secției de terapie intensivă, unde i s-a aplicat un protocol terapeutic personalizat. Echipa Patrupet a monitorizat zilnic evoluţia raportului sodiu/potasiu (Na/K), precum şi evaluarea nivelului de cortizol pentru ajustarea terapiei hormonale. Protocolul terapeutic personalizat a inclus:

  • Fluidoterapie intensivă: Reechilibrare hidroelectrolitică pentru combaterea deshidratării severe;

  • Corticoterapie: Administrarea de Dezoxicorton pivalat pentru corectarea deficitului hormonal adrenal;

  • Antivomitive: Controlul vărsăturilor cu ajutorul medicamentelor antiemetice;

  • Protectoare gastrice: Suport pentru integritatea mucoasei gastrice;

  • Analgezie din clasa opioidelor: Ameliorarea durerii abdominale și renale severe;

  • Antibioterapie: Prevenirea și tratarea posibilelor infecții secundare;

  • Ciancobalamină: Corectarea deficiențelor de vitamina B12;

  • Chelatori de fosfor: Pe bază de carbonat de calciu, pentru reducerea fosfatemiei;

  • Domperidonă: Stimularea motilității gastrointestinale;

  • Polipeptide renale și hepatoprotectoare: Suport pentru funcția renală și hepatică.

Evoluție favorabilă: Primele semne de recuperare

În cele 5 zile de spitalizare, Kaia a răspuns pozitiv la terapia intensivă. Starea ei generală s-a stabilizat, apatia și tremorul au dispărut, iar motilitatea intestinală s-a îmbunătățit. Kaia a fost externată cu o terapie personalizată, inclusiv administrarea periodică de Dezoxicorton pivalat și controale regulate pentru monitorizarea raportului Na/K.

Boala Addison la câini – provocări și management pe termen lung

Boala Addison, sau hipoadrenocorticismul, este o afecțiune rară, dar gravă, cauzată de incapacitatea glandelor suprarenale de a produce hormoni esențiali, precum cortizolul și aldosteronul. Aceasta determină dezechilibre electrolitice severe, afectând multiple sisteme.

Diagnosticul precoce și tratamentul personalizat sunt cruciale pentru supraviețuire și o calitate optimă a vieții. Kaia va necesita monitorizare continuă și ajustări terapeutice pentru a preveni crizele addisoniene.

Cazul Kaiei subliniază importanța diagnosticului diferențial rapid și a îngrijirii personalizate în hipoadrenocorticism. Prin dedicare și terapie intensivă, micuța noastră pacientă și-a recăpătat energia și bucuria de a trăi. Monitorizarea constantă și colaborarea cu proprietarii vor asigura controlul acestei patologii pe termen lung.

Previous
Previous

Recuperarea incredibilă a lui Mizuki: povestea unui caz nefrologic complex la o pisică British Shorthair

Next
Next

Benz, bulldogul luptător – Povestea unei recuperări remarcabile după Babesioză